Higher predictability in complex orthodontic cases

Meta-analyses show real-world aligner accuracy of only 41–59%, with up to 17% of cases requiring finishing with fixed appliances.

Ordoline is different. Clinical data show 67–78% accuracy in complex cases, exceeding typical aligner performance.

In addition, over 75% of treatment plans are approved on the first submission, reducing revisions and saving clinical time.

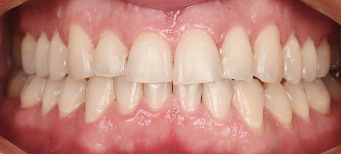
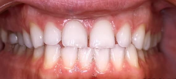
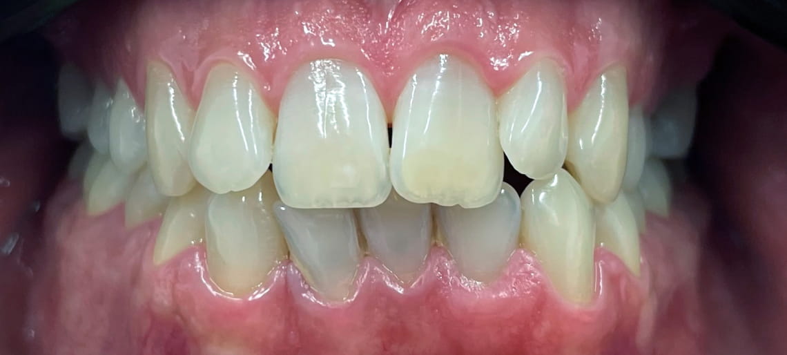
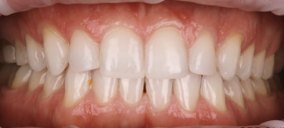
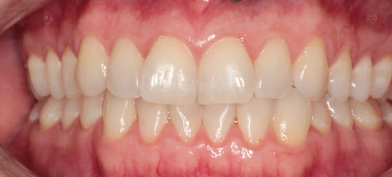
1st case

Growing patient with asymmetric Class II and Class III relationships and moderate crowding.
Treatment was completed in 1 year and 6 months using extraction of all first premolars, Class II elastics, and reciprocal space closure to achieve the desired outcomes.

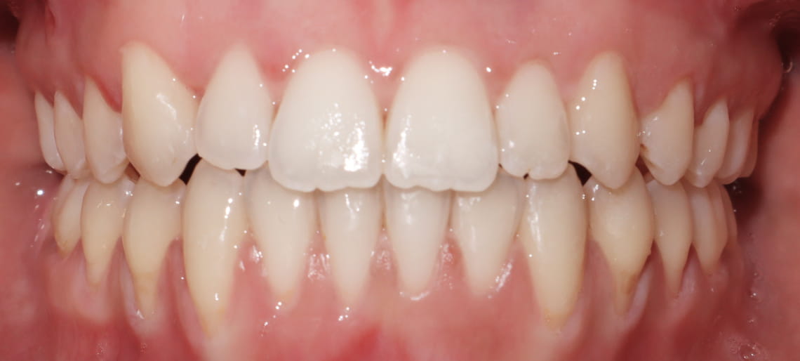
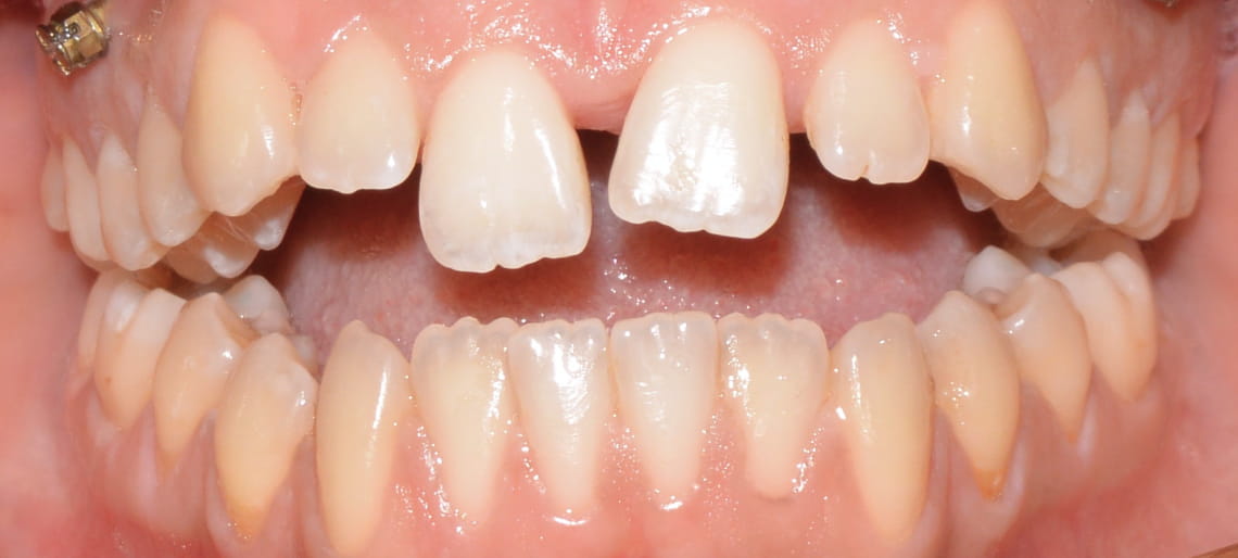
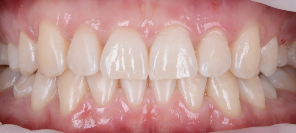
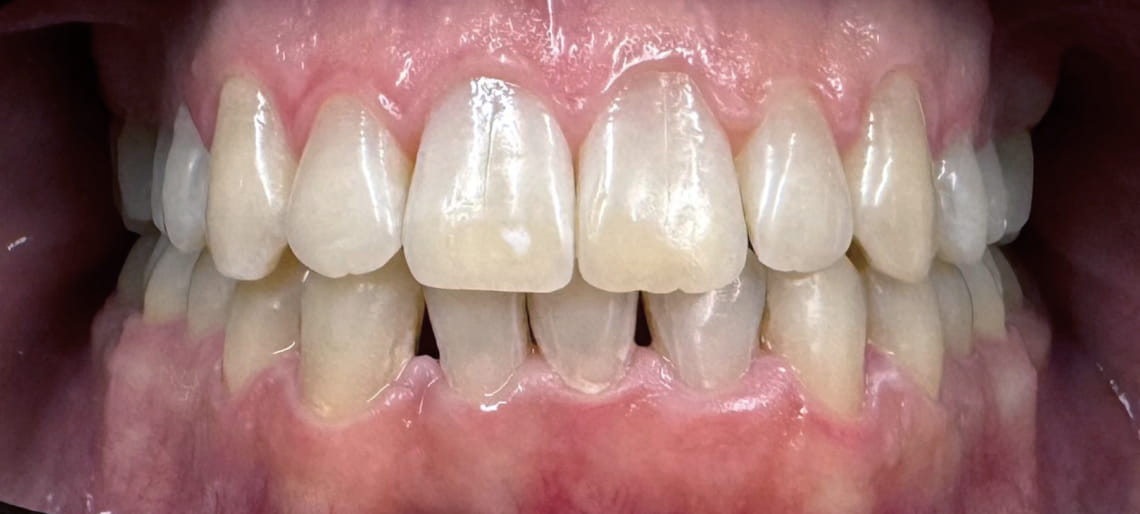
2nd case

Adult patient with posterior crossbite, severe open bite, and moderate crowding.
Treatment was completed in 2 years and 1 month using a two-phase approach: crossbite correction with MARPE, followed by aligner treatment combined with Class elastics to achieve the desired outcomes.

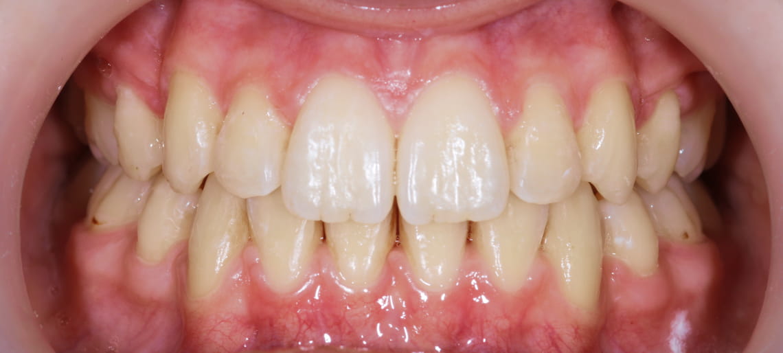
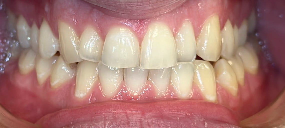
3rd case

Adolescent patient with asymmetric canine relationship and moderate crowding. This was the patient’s second orthodontic treatment; during the first treatment, tooth 41 was extracted. Treatment duration was 1 year and 10 months. Treatment goals were achieved by extraction of the lower right wisdom tooth, expansion of both arches, distalization of quadrant 4, and use of asymmetric Class elastics. Full Class III correction on the right side was intentionally avoided to prevent midline shift.

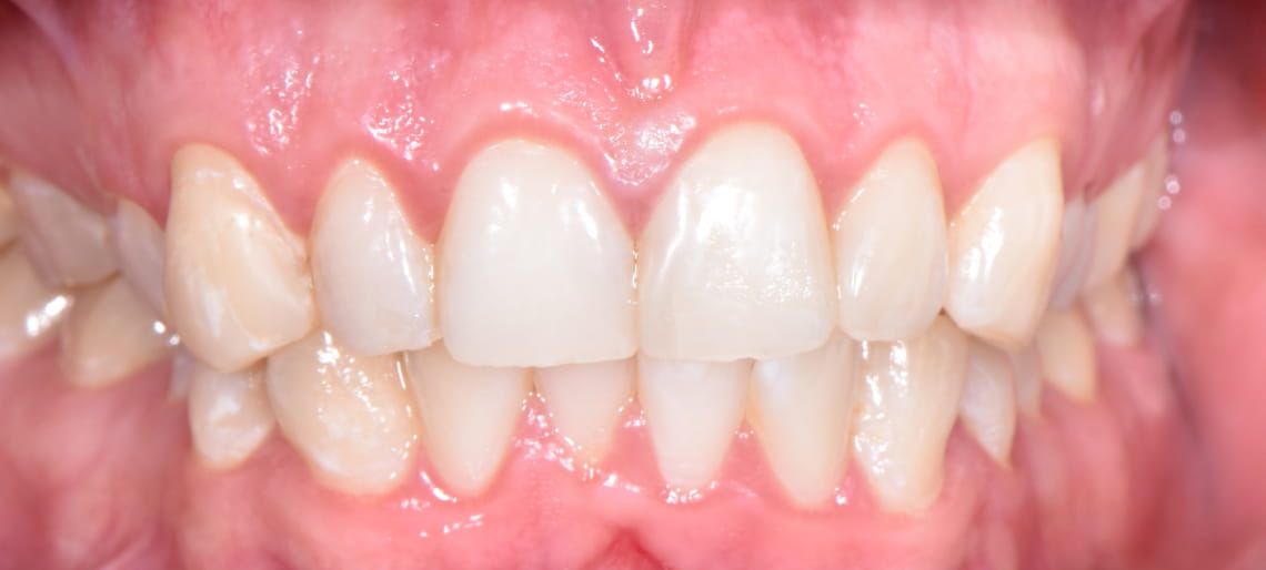
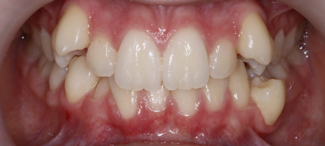
4th case

Adult Class I patient with mild crowding. Treatment duration was 1 year and 2 months.
Treatment goals were achieved through arch expansion, interproximal reduction (IPR), and alignment.

5th case

Adult patient with skeletal class III and edge-to-edge bite.
Case was treated with Class III elastics on both sides for lower arch distalization and upper arch mesialization. Additionally minimal IPR. Case was finished without refinements. Approx 1 year treatmentduration.

6th case

Adult patient with narrow arches and moderate crowding. Treatment duration was 2 years and 10 months.
Treatment goalsare achieved by expansion of both arches, IPR on lower arch and Class II elastics.

7th case

Adolescent patient in the pubertal growth phase presenting with narrow arches, dental crossbite, deep bite, gummy smile, and moderate crowding.
Treatment duration 2 years. Treatment goals were achieved by extraction of upper wisdom teeth, distalization of both arches with class II elastics, and correction of deep bite.

8th case

Adult patient with bilateral Class II malocclusion, increased overjet, and narrow arches, presenting with occlusal canting and gingival display.
Treatment was completed in 2 years and 8 months using extraction of all third molars, bilateral Class II elastics, and a fixed appliance segment in the fourth quadrant to create space for a future implant crown.

9th case

Adult patient with skeletal Class I and dental Class III molar relationship, presenting posterior crossbite, moderate crowding, and functional mandibular shift.
Treatment was completed in 2 years and 3 months using cross elastics for crossbite correction, alignment and leveling of both arches, and mandibular advancement to correct the midline.