Go beyond aligner limitations

Ordoline integrated advanced clinical tools and hybrid mechanics to deliver predictable outcomes- from simple alignments to complex cases.

From diagnosis and planning to auxiliaries and hybrid mechanics- everything is designed to deliver precise, predictable results

Diagnosis and planning

01

Comprehensive 3D diagnosis

CBCT and face-scan integration combined with strict initial data control, enable precise evaluation of roots, bone, midlines, occlusal planes, and canting → not just tooth position, but how teeth fit the face and skeleton.

02

Clinician-led, individualized treatment strategy

Unified protocols ensure consistency across planning teams and clinical consultants. Treatment plans are supervised by experienced clinicians based on scientifically validated protocols and doctor-specific preferences — not random automated by AI or delegated just to technicians.

03

High first-time treatment plan approval rate

Over 75% of treatment plans are approved on the first submission, driven by individualized planning, clinician-led decisions, and multi-level quality control → less time spent on revisions, fewer delays, and smoother treatment work-flow.

04

Defined treatment predictability from the start

Each case is scientifically assessed for its level of predictability before treatment begins → helping doctors select appropriate cases and set realistic expectations.

05

Controlled treatment progression

Aligners are deliver in stages, allowing mid-treatment evaluation, superimpositions, and necessary adjustments → improved control and more reliable final outcomes.

Biomechanical tools and orthodontic auxiliaries for hybrid treatment

Aligner performance

01

Premium multi-layer material

Designed for optimal flexibility, force control, and patient comfort — while maintaining mechanical stability and consistent force delivery over time.
The material ensures longer-lasting force application, enabling more accurate and predictable tooth movements throughout each stage of treatment.

02

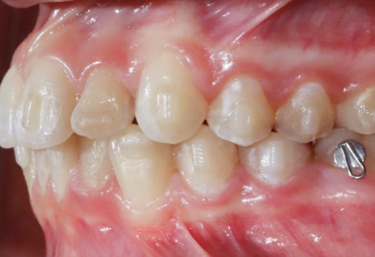
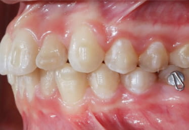
Precision-engineered attachments

Optimized in shape and position for effective force application and improved retention.
We use conventional composite attachments as well as orthodontic buttons and hooks. Doctors can choose between minimal attachment approaches and more advanced attachment and retention protocols — depending on case complexity and treatment goals.

03

Optimized trim-line design

Flat-cut aligners apply measurably more consistent force compared to scalloped designs, improving movement accuracy and treatment efficiency — without compromising patient comfort.

Doctors can also choose scalloped or high trim-line designs when clinically indicated, allowing flexibility across different treatment strategies.

Orthodontic auxiliaries

01

Elastic cutouts — exclusive Ordoline design

A patented elastic cut with a 360° locking mechanism positioned higher on the gingiva for superior retention. Enables full elastic mechanics without gingival irritation, ensuring comfort and stability throughout treatment.

02

Power arms

Enhance torque control and enable precise root movement — critical for cases requiring bodily movement, controlled tipping, or derotation that exceeds what aligner mechanics alone can reliably achieve.

03

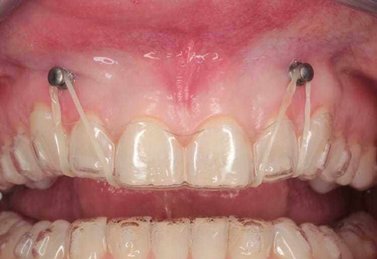
Mini-screws

Improve anchorage and enable higher force levels — including parallel arch retraction, greater intrusions, and uprighting movements.

04

Mini-screws with guide

Enable precise placement and stable anchorage ensuring predictable biomechanical control and improved tooth movement outcomes.

Hybrid mechanics

01

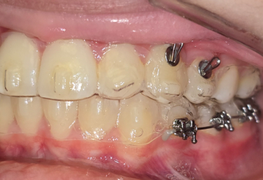
Segmental braces

Segmental braces are used only where additional control is needed — integrated into aligner treatment from the start, not as a rescue solution:

  • allows precise movement in complex or low-retention areas;
  • while patients still benefit from the comfort and aesthetics of aligners.
02

Functional and orthopaedic appliances

When greater force or skeletal correction is required, aligners are complemented with functional and orthopaedic appliances:

  • allowing movements that cannot be reliably achieved with aligners alone;
  • making complex cases more predictable and treatable.

Interdisciplinary treatment

01

Guided implant integration

Implants can be planned before or during orthodontic treatment and used as anchorage when needed:

  • enabling precise tooth movement in complex cases;
  • improving control in situations where conventional mechanics are limited.
02

Digital wax-up simulations

Digital wax-ups support aesthetic and restorative planning from the start:

  • aligning tooth movement with final restorative goals;
  • improving communication and predictability of the final outcome.
03

Pontics with camouflage

Aesthetic pontics are built into aligners to mask missing teeth during treatment:

  • preserving smile aesthetics at every stage;
  • enhancing patient confidence and satisfaction throughout the journey.