Not just aligners.
A system for predictable results — even in complex cases.

Built on clinician-led planning, unified protocols, hybrid mechanics and multi-level quality control. Integrated with restorative and implant workflows — when needed. Because outcomes are driven by clinical decisions — not just materials or software.

Built on clinician-led planning, unified protocols, hybrid mechanics and multi-level quality control. Integrated with restorative and implant workflows — when needed. Because outcomes are driven by clinical decisions — not just materials or software.

Why Ordoline?

01

Predictability where aligners usually fail

Real-world studies show aligner virtual treatment plans accuracy of only 41–59%, with up to 17% of cases requiring braces to finish¹.
Ordoline delivers 67–78% accuracy in complex cases, and over 75% of treatment plans are approved on the first submission – less replanning, more clinical control².

02

Clinician-led treatment with built-in quality control

Every case is supervised by experienced clinicians following unified protocols and reviewed through multi-level quality control — ensuring consistency, precision, and high first-time approval rates.

03

Hybrid mechanics for complex movements

Aligners alone are not enough in many cases.
We integrate auxiliaries, skeletal anchorage, and segmental mechanics to achieve movements that aligners alone cannot reliably deliver.

04

Treatment planning beyond tooth alignment

We consider full clinical picture- including restorative, TMJ and implant planning- to achieve stable, aesthetic, and functional results.

Clinical tools for predictable treatment

Aligners alone have limitations. Ordoline integrates advanced orthodontic mechanics into aligner treatment — expanding control and predictability in complex movements. This allows treating complex cases with the precision typically associated with fixed appliances.

Mini-screws

Anchorage & force control

Power arms

Torque & root movement

Segmental braces

Complex skeletal cases

Expanders

Transverse correction

Carriere motion

Sagittal correction

Elastic cutouts

Exclusive Ordoline design

Engineered for predictable tooth movement

about_the_aligners_generations_image about_the_aligners_generations_image_mobile
  • Multi-layer material ensures consistent force delivery and long-lasting performance.
  • Precision-engineered attachments improve control and movement accuracy.
  • Optimized trimline design enhances force application without compromising comfort.
  • Combined with advanced auxiliaries, the system enables greater control in complex cases — beyond what aligners alone can achieve.

Predictable outcomes are not theoretical — they are achieved in daily clinical practice

Ordoline supports treatment across a full spectrum of cases, combining clinician-led planning, standardized protocols, and hybrid mechanics to ensure control and consistency — even in complex situations.

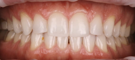
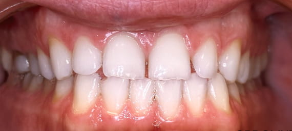
1st case

Adult Class I patient with mild crowding. Treatment duration was 1 year and 2 months.
Treatment goals were achieved through arch expansion, interproximal reduction (IPR), and alignment.

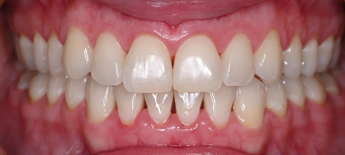
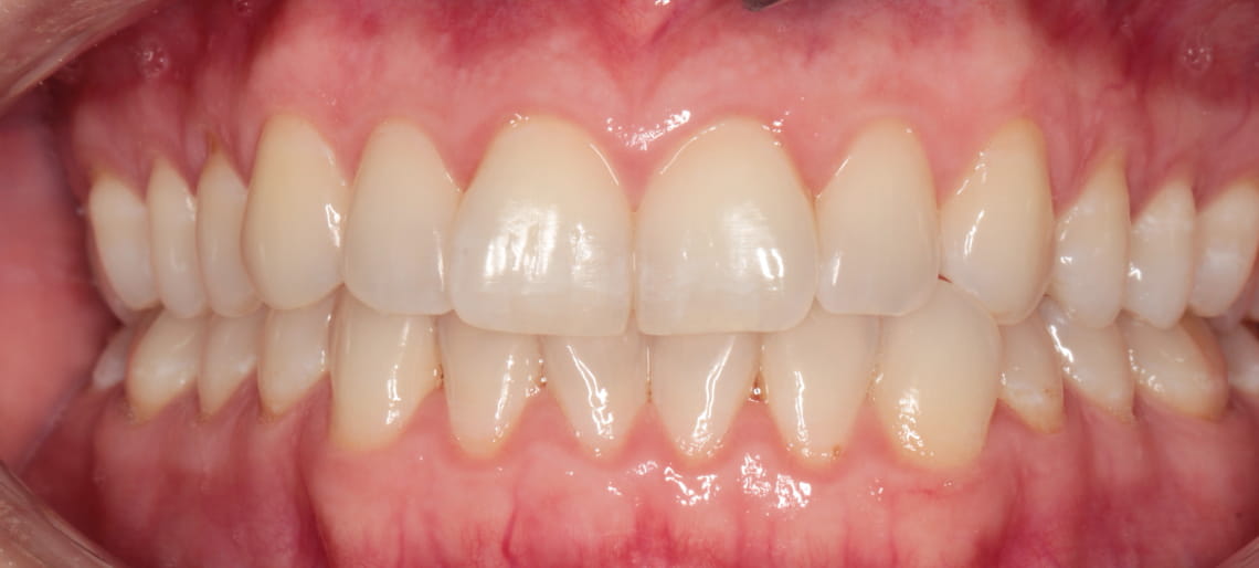
2nd case

Adult patient with skeletal class III and edge-to-edge bite.
Case was treated with Class III elastics on both sides for lower arch distalization and upper arch mesialization. Additionally minimal IPR. Case was finished without refinements. Approx 1 year treatmentduration.